Cosmetic & Family Dentistry in Kingsport, TN
Beautiful Smiles Start Here
At Tri-Cities Center for Cosmetic Dentistry, we serve patients across Kingsport, Johnson City, and Bristol, giving them truly remarkable smiles. Led by our Kingsport dentist, Dr. Kathy Sanders, the only Accredited Fellow of the AACD in Tennessee, and Dr. Erika Lovett, our mother-daughter team combines advanced dentistry with an artistic touch.
Read More
From cosmetic makeovers to routine cleanings, we offer expert care in a warm, modern setting. Discover a dental experience that’s personal, professional, and focused on what matters most: your smile.

A Nationally Recognized Leader in Cosmetic Dentistry
In 2018, Dr. Kathy Sanders became the first dentist in Tennessee—and only the 81st in the world—to earn Accredited Fellow status with the American Academy of Cosmetic Dentistry (AACD), the most respected authority in the field. This distinction reflects more than 25 years of advanced training and mentorship under the world’s top cosmetic dentists.
Read More
A designer of award-winning smiles, Dr. Sanders is also an award recipient herself and a Kingsport dentist, earning recognition in the AACD’s prestigious international Smile Gallery Competition.
Based in Kingsport, Tennessee, Dr. Sanders brings world-class cosmetic dentistry to Northeast Tennessee and Southwest Virginia—care typically only found in large metropolitan areas.
![]()
Mission
With an unwavering commitment to excellence and the artistry of beautiful smile design, the Tri-Cities Center for Cosmetic Dentistry’s mission is that of integrating leading dental techniques and technology with the performance of a dental team valuing exceptional patient care and the inviting charm of Southern hospitality.
Mission
With an unwavering commitment to excellence and the artistry of beautiful smile design, the Tri-Cities Center for Cosmetic Dentistry’s mission is that of integrating leading dental techniques and technology with the performance of a dental team valuing exceptional patient care and the inviting charm of Southern hospitality.
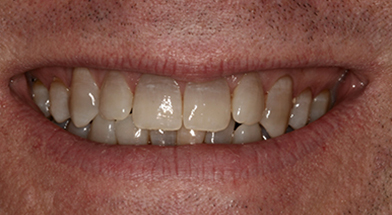
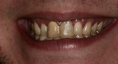
Truly Remarkable Treatments
Our Services
From subtle enhancements to full-mouth restorations, we offer a wide range of cosmetic and restorative treatments designed to elevate both your smile and your confidence.


Why choose us?
When it comes to your smile, expertise matters. Dr. Kathy Sanders is the only Accredited Fellow of the AACD in Tennessee—a distinction held by fewer than 100 dentists worldwide. With over 25 years of experience, advanced training under global leaders, and a commitment to working with the finest materials and ceramists, she creates smiles that are as lasting as they are beautiful.
Read More
Together with Dr. Erika Lovett, our mother-daughter team blends artistry, precision, and compassionate care to deliver cosmetic and family dentistry you can trust—for results that look natural, feel comfortable, and truly last.




































