COSMETIC AND GENERAL
DENTISTRY IN KINGSPORT, TN
World Class Expertise.
Southern Hospitality.
At the Tri-Cities Center for Cosmetic Dentistry, we welcome patients from Kingsport, Johnson City, and Bristol with the perfect blend of advanced dentistry and genuine southern charm.
Led by Tennessee’s only AACD Accredited Fellow, Dr. Kathy Sanders, and general dentist Dr. Erika Lovett provide experience, artistry, and heartfelt care to create smiles that are beautiful, natural, and lasting.
Our Mission
Dr. Kathy S. Sanders, DMD, AAACD and Dr. Erika S. Lovett, DMD are committed to integrating leading dental techniques and technology with exceptional patient care at Tri-Cities Center for Cosmetic Dentistry. Our mission centers on the artistry of beautiful smile design while maintaining an unwavering commitment to excellence. We believe every patient deserves personalized care that addresses their unique oral health goals.
As your trusted Kingsport dentist, we combine the latest advancements in cosmetic dentistry with the inviting charm of Southern hospitality, ensuring your dental experience exceeds expectations while achieving the healthy, beautiful smile you’ve always wanted.

MEET DR SANDERS AND DR LOVETT
A Unique Mother
& Daughter Team
Dr. Sanders is Tennessee’s only dentist to achieve Accredited Fellow status with the American Academy of Cosmetic Dentistry—an honor held by fewer than 100 dentists worldwide.
Working alongside her daughter, Dr. Erika Lovett, a skilled general dentist, this mother-daughter team provides comprehensive cosmetic and general dentistry that is beautiful, natural, and stands the test of time..
Why Implant-Supported Crowns Transform Your Smile Permanently
When you lose a tooth, implant-supported crowns offer the most natural replacement solution available. These advanced restorations combine the strength of dental implants with the beauty of custom porcelain crowns.
Our Kingsport dentist uses cutting-edge technology to create crowns that look, feel, and function exactly like your natural teeth. Unlike traditional bridges that rely on adjacent teeth for support, implant-supported crowns stand independently, preserving your healthy tooth structure while delivering exceptional durability.
Advanced Planning Prevents Future Complications
Proper implant placement needs exact planning and teamwork between specialists. We work closely with qualified oral surgeons in the Tri-Cities area who visit our office to review 3D scans for complex cases.
This collaborative approach ensures your implant is positioned perfectly for optimal crown placement. Our Kingsport dentist uses advanced imaging technology to map your jaw structure and plan the exact angle and depth needed for long-term success.
- 3D scanning technology provides detailed images of your jawbone structure
- Collaborative planning sessions between our Kingsport dentist and oral surgeon specialists
- Computer-guided implant placement ensures precise positioning every time
- Advanced materials create crowns that match your natural tooth color perfectly
- Detailed treatment planning reduces healing time and improves success rates
Long-Term Benefits Make Implants Worth the Investment
Implant-supported crowns offer advantages that traditional tooth replacement options cannot match. They stimulate your jawbone, preventing the bone loss that occurs with missing teeth. Your new crown will maintain your facial structure and provide the confidence to eat, speak, and smile without worry.
The Tri-Cities Center for Cosmetic Dentistry creates crowns designed to last decades with proper care, making them a smart long-term investment in your oral health.
- Bone stimulation prevents jaw deterioration and maintains facial structure
- Independent support eliminates stress on adjacent healthy teeth
- Permanent attachment means no slipping or movement during eating
- Easy maintenance with regular brushing and flossing routines
- Superior strength allows you to eat all your favorite foods confidently
Our Kingsport dentist believes that Implant-supported crowns represent the gold standard in tooth replacement. Your investment in this advanced treatment provides decades of reliable function and natural beauty that enhances your quality of life every day.
How Implant-Supported Bridges Replace Multiple Missing Teeth
Missing several adjacent teeth creates significant challenges for eating, speaking, and maintaining your facial structure. Implant-supported bridges solve these problems by connecting custom porcelain teeth to strategically placed dental implants.
Our Kingsport dentist designs these bridges using the same high-quality materials as regular porcelain bridges, but with the superior stability that only implants provide. This treatment eliminates the need to alter healthy adjacent teeth, preserving your natural tooth structure while restoring full function to your smile.
Solving Complex Cases Requires Expert Collaboration
Traditional bridges often fail when multiple teeth are missing because they place excessive stress on supporting teeth. Implant-supported bridges distribute chewing forces evenly across multiple implant posts, preventing overload and extending the life of your restoration.
Area oral surgeons frequently visit our office to examine 3D scans and plan implant placement for challenging cases. This collaborative approach between specialists and our Kingsport dentist ensures optimal positioning for both strength and aesthetics.
- Strategic implant placement distributes bite forces naturally across your jaw
- Multiple implant posts provide superior stability compared to traditional options
- Collaborative planning sessions eliminate guesswork in complex reconstructions
- Advanced imaging reveals bone density and nerve locations for safe placement
- Custom design process creates bridges that blend seamlessly with your smile
Understanding the Advantages Over Removable Solutions
Removable partial dentures slip, cause sore spots, and require messy adhesives. Implant-supported bridges attach permanently to your implants, providing the confidence to eat, laugh, and speak without worry.
Our Kingsport dentist at Tri-Cities Center for Cosmetic Dentistry creates bridges that feel completely natural because they stimulate your jawbone just like natural tooth roots. This stimulation prevents bone loss and maintains your facial height, keeping you looking younger longer.
- Permanent attachment eliminates embarrassing slipping or clicking sounds
- Natural chewing ability lets you enjoy all your favorite foods again
- Bone stimulation prevents the sunken appearance caused by tooth loss
- Easy cleaning routine requires only regular brushing and flossing
- Superior comfort eliminates pressure points and sore spots
Implant-supported bridges represent a permanent solution for multiple missing teeth. Your investment in this advanced treatment restores both function and confidence while protecting your long-term oral health.
Debunking Common Myths About Veneers and Their Natural Results
Many people believe veneers look fake or require extensive tooth removal, but modern porcelain veneers create incredibly natural results with minimal preparation. Our Kingsport dentist uses advanced techniques to preserve your natural tooth structure while achieving dramatic smile transformations.
These ultra-thin shells bond seamlessly to your teeth, correcting chips, gaps, stains, and minor alignment issues. Even naturally darker teeth can be significantly lightened using specialized tints and opaquing agents during placement, creating beautiful results that look completely authentic.
Understanding the Precision Behind Every Veneer Design
Creating perfect veneers requires exceptional skill and communication between your dentist and master ceramists. Our veneers come from world-class laboratories where detailed planning ensures each veneer matches your facial features and personality.
Our Kingsport dentist employs specialized preparation techniques that maintain maximum tooth structure while creating the ideal surface for bonding. The laboratory technician receives detailed photos, impressions, and specific instructions about color, shape, and translucency to craft veneers that complement your unique smile.
- Advanced preparation techniques preserve healthy tooth enamel during treatment
- World-class laboratory partnerships ensure superior craftsmanship and materials
- Detailed communication between the dentist and the technician guarantees perfect results
- Custom color matching creates veneers that blend naturally with adjacent teeth
- Precise measurements ensure a comfortable fit and proper bite alignment
Transformative Benefits That Last for Decades
Porcelain veneers resist staining better than natural teeth, maintaining their bright appearance for years with proper care. The Tri-Cities Center for Cosmetic Dentistry creates veneers designed to withstand daily wear while preserving their lustrous finish.
These restorations correct multiple cosmetic concerns simultaneously, often eliminating the need for orthodontics or teeth whitening. Your investment in quality veneers provides lasting confidence and eliminates years of self-consciousness about your smile.
- Stain-resistant porcelain maintains brightness longer than natural tooth enamel
- Multi-problem solution addresses chips, gaps, discoloration, and minor misalignment
- Durable construction withstands normal chewing forces for decades of service
- Conservative treatment preserves more natural tooth structure than crowns
- Immediate results eliminate lengthy treatment timelines associated with orthodontics
Veneers represent the perfect blend of artistry and science in cosmetic dentistry. Our Kingsport dentist combines technical expertise with aesthetic vision to create smiles that enhance your natural beauty and boost your confidence for years to come.
The Future of Denture Technology with Implant-Supported Solutions
Traditional dentures represent outdated technology that leaves patients struggling with poor fit, slipping, and restricted food choices. Implant-supported dentures revolutionize tooth replacement by combining the coverage of full dentures with the stability of dental implants.
Our Kingsport dentist offers multiple design options that incorporate implants strategically to eliminate the problems associated with conventional dentures. These advanced solutions provide patients with confidence to eat, speak, and laugh without fear of embarrassing slippage or discomfort.
Comparing Your Options for Maximum Comfort and Function
Several implant-supported denture designs exist. Each has clear benefits over traditional removable dentures. Patient-removable options allow easy cleaning and hold better than adhesive dentures. Semi-fixed designs attach firmly to implants and can only be removed by your dental team during maintenance appointments.
Our Kingsport dentist at Tri-Cities Center for Cosmetic Dentistry works closely with local specialists to determine which approach best suits your lifestyle, budget, and oral health needs.
- Patient-removable designs offer convenience for cleaning while maintaining stability
- Semi-fixed options provide maximum security and feel most like natural teeth
- Strategic implant placement eliminates pressure points and sore spots
- Multiple attachment systems accommodate different jaw shapes and bone levels
- Customized solutions address individual comfort preferences and functional requirements
Preventing Common Problems That Plague Traditional Denture Wearers
Conventional dentures cause bone loss, facial collapse, and digestive issues from inadequate chewing. Implant-supported dentures stimulate your jaw bone, preventing deterioration and maintaining your facial structure.
Our Kingsport dentist designs these prosthetics to restore proper chewing function, allowing you to enjoy nutritious foods that traditional dentures make difficult to eat. Local specialists place implants through close communication with our dental team to achieve optimal positioning and long-term success.
- Bone stimulation prevents jaw shrinkage and maintains youthful facial proportions
- Improved chewing ability supports better nutrition and digestive health
- Secure attachment eliminates messy adhesives and embarrassing social situations
- Enhanced speech clarity removes the mumbling associated with loose dentures
- Reduced maintenance requirements save time and money compared to traditional options
Implant-supported dentures represent the gold standard in full-mouth reconstruction. Our Kingsport dentist combines advanced technology with proven techniques to restore your smile, confidence, and quality of life permanently.
The Positive Impact Inlays and Onlays Have on Your Oral Health
Large cavities and damaged teeth often require extensive treatment that removes healthy tooth structure unnecessarily. Inlays and onlays preserve more of your natural tooth while providing superior strength and longevity compared to traditional fillings.
Our Kingsport dentist creates these custom restorations using high-quality porcelain or composite materials that match your tooth color perfectly. These conservative treatments restore damaged areas precisely, maintaining your tooth’s structural integrity while eliminating decay and weakness that could lead to future fractures.
Learning the Key Differences Between Inlays and Onlays
Understanding when your dentist recommends inlays versus onlays helps you make informed decisions about your treatment. Inlays fit within the grooves of your tooth, similar to large fillings, but offer superior durability and aesthetics. Onlays extend over one or more tooth cusps, providing coverage for more extensive damage without requiring full crown preparation.
Our Kingsport dentist determines which option best suits your specific situation based on the location and extent of tooth damage.
- Inlays restore damage contained within the tooth’s chewing surface grooves
- Onlays cover damaged cusps while preserving healthy tooth structure
- Custom fabrication ensures precise fit and optimal bite alignment
- Porcelain materials resist staining and wear better than traditional fillings
- Conservative preparation maintains maximum natural tooth strength
Building Long-Term Strength That Outlasts Traditional Fillings
Metal fillings expand and contract with temperature changes, creating stress fractures that weaken teeth over time. Inlays and onlays bond directly to your tooth structure, creating a seal that prevents bacteria infiltration and secondary decay.
The Tri-Cities Center for Cosmetic Dentistry uses advanced bonding techniques that distribute chewing forces evenly across the restoration. This approach prevents the cracking and breaking commonly seen with large amalgam fillings, extending your tooth’s lifespan significantly.
- Direct bonding creates superior seal compared to traditional filling materials
- Even stress distribution prevents fractures from concentrated bite forces
- Advanced materials resist wear and maintain their appearance for decades
- Biocompatible construction eliminates concerns about metal sensitivity reactions
- Custom design accommodates your unique bite pattern for optimal comfort
Inlays and onlays represent the perfect balance between conservation and restoration. Our Kingsport dentist uses these techniques to preserve your natural teeth while providing the strength and beauty you deserve for lasting oral health.
Essential Benefits That Make Dental Implant Restorations Worth Your Investment
Dental implant restorations replace missing teeth with permanent solutions that function exactly like your natural teeth. These sophisticated treatments combine titanium implant posts with custom-crafted crowns, bridges, or dentures that restore both appearance and function.
Our Kingsport dentist coordinates with skilled specialists to ensure implant placement supports beautiful, long-lasting restorations. This collaborative approach guarantees optimal positioning for both structural integrity and aesthetic excellence, creating smiles that look completely natural and feel incredibly comfortable.
Preventing Future Complications Through Expert Coordination
Successful implant restorations require precise planning between your restorative dentist and implant surgeon. We coordinate with specialists who place implants exactly where we need them positioned to create beautiful smiles. This teamwork eliminates guesswork and ensures your final restoration fits perfectly while maintaining proper bite alignment.
The Tri-Cities Center for Cosmetic Dentistry uses advanced imaging and detailed treatment planning to communicate exact specifications to our surgical partners, preventing complications and ensuring predictable results.
- Strategic coordination ensures implants support optimal restoration design and function
- Advanced treatment planning eliminates placement errors that compromise final results
- Detailed communication between specialists prevents costly revision procedures
- Precise positioning allows for ideal crown emergence and natural gum contours
- Collaborative approach reduces treatment time and improves patient comfort
Comparing Implant Restorations to Traditional Tooth Replacement Options
Traditional bridges require grinding down healthy adjacent teeth, permanently weakening your natural tooth structure. Implant restorations stand alone, saving nearby teeth and giving better stability. Removable partial dentures create pressure points and accelerate bone loss, while implant restorations stimulate your jaw bone naturally.
Our Kingsport dentist creates restorations that maintain your facial structure and provide the confidence to eat, speak, and smile without limitations or embarrassment.
- Independent support eliminates damage to healthy adjacent teeth
- Bone stimulation prevents jaw deterioration and maintains facial height
- Permanent attachment eliminates messy adhesives and social anxiety
- Superior chewing ability allows unrestricted food choices and better nutrition
- Natural appearance and feel restore confidence in social and professional settings
Dental implant restorations represent the pinnacle of modern tooth replacement technology. Our Kingsport dentist combines artistic vision with scientific precision to create restorations that enhance your quality of life for decades to come.

Why Choose Us
From the first phone call to the final reveal of your new smile, you’ll experience the difference. We combine advanced training, award-winning artistry, and a whole team commitment to making every patient feel at home.
- Dr. Sanders is Tennessee’s only AACD Accredited Fellow
- 35+ years of combined experience in dentistry
- Award-winning smiles recognized internationally
- Pampering with warm, scented towels and paraffin wax hand treatments.
- Warm, southern hospitality in every visit
5-Star Review Happiness
There’s nothing better than patients who love their new smile — and
experience the benefit every single day.
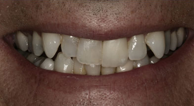
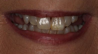
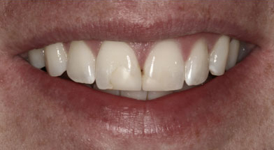
Before & After Smiles
Rediscover Your Radiant Smile with Our Kingsport Dentist!
Ready to experience dental care that transforms both your smile and your confidence? Dr. Kathy S. Sanders, DMD, AAACD and Dr. Erika S. Sanders, DMD at Tri-Cities Center for Cosmetic Dentistry are waiting to show you what truly remarkable smiles look like.
Follow us on Facebook and Instagram to see amazing before-and-after changes. Watch our YouTube videos to see our advanced procedures and patient success stories. Don’t wait another day to invest in your oral health – call 423-239-7899 now to schedule your comprehensive evaluation with our Kingsport dentist and start your journey toward the beautiful, healthy smile you deserve.
FAQs
What areas do you serve beyond Kingsport?
Our dental practice serves patients throughout Kingsport, Johnson City, Bristol, and the broader Northeast Tennessee and Southwest Virginia regions. We’re conveniently located at 4623 Fort Henry Drive, just minutes from the Tri-Cities Airport. Many patients come from nearby areas to get special cosmetic dentistry and full dental care from our Kingsport dentists.
What makes your initial appointment different from other dental practices?
Your first visit to our Kingsport dentist involves a comprehensive 2-2.5 hour oral evaluation that goes far beyond a typical dental checkup. We conduct thorough tooth examinations, oral cancer screening using VELScope® technology, periodontal evaluation, and TMJ disorder screening. This detailed assessment allows us to understand your complete oral health picture and develop personalized treatment recommendations.
What advanced technology do you use in your practice?
Our Kingsport dentists utilize cutting-edge dental technology, including the TRIOS® Digital Scanner for precise impressions, digital X-rays for reduced radiation exposure, and 3D Cone Beam imaging for comprehensive diagnosis. Our intraoral cameras help educate patients about their oral health, while our Dento-Surg® 90 FFP Radiosurgical Instrument and Oral DNA® testing capabilities provide advanced treatment options. This technology enhances both your comfort and treatment outcomes.
How do you ensure patient comfort during visits?
Your comfort is our Kingsport dentist’s priority, which is why we provide massage chairs, hand waxes, and refreshments during your visit. Our beautiful office shows a big investment in making a welcoming, spa-like space. We schedule adequate time for each appointment, ensuring you never feel rushed, and our friendly staff focuses on making you feel valued and cared for throughout your entire experience.
What continuing education do your doctors pursue?
Both Dr. Sanders and Dr. Lovett exceed standard continuing education requirements, with Dr. Sanders recognized annually since 1999 for completing over 80 hours of continuing education every two years. Our entire dental team participates in ongoing training to stay current with the latest techniques and technologies. This commitment to lifelong learning ensures you receive the most advanced and effective dental care available.

























